26 Şubat 2026, Perşembe Web TV Foto Galeri Sosyal Medya Mobil Uygulamalar Arşiv
 
 

Beyninden Bakın Ne Çıktı!



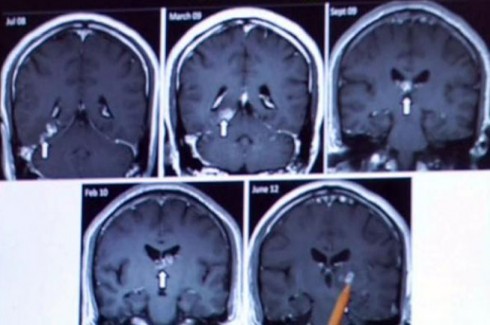
Tenyayı inceleyen Chambridge Sanger Enstitüsü bilim adamları parazitin hastanın Asya gezisinde çiğ olarak yediği kurbağa etinden gelmiş olabileceğini açıkladı. Chambridge Sanger Enstitüsü görevlisi bilim adamı Neuropatalog Andrew Dean, önce baş dönmesi ve kramp şikayeti ile hastaneye başvuran hastada tenyanın tesadüf olarak bulunduğunu söyledi. Focus dergisinin haberine göre, adamın beyninde dört yıl boyunca büyüyen 'Spirometra erinacei europaei' tipi tenyanın, İngiltere’de ilk kez ortaya çıktığı belirtildi. Ameliyat sonrası sıhhatine kavuşan ve adı açıklanmayan ingiliz'in Cambridge Üniversitesi Kliniği’nden taburcu olduğu belirtildi. “Spirometra erinacei europaei” tipi tenyalar, genelde Akdeniz Bölgesi ve Doğu Asya’da bulunuyor. 75 santimetreye kadar büyüyebilen bu tenyalar, 8 milimetre kalınlığa ulaşabiliyor.

25 Aralık 2014
Etiket; tenya, ingiltere, beynin içi, beyin, Yazdır   |   Paylaş

İlgili haberler


OZON TEDAVİSİ, İYİLEŞME SÜRECİNİ HIZLANDIRIYOR
İZMİRLİ İŞ KADINLARI ATAKTA
MOBBİNG SAVCI ADAYINI İNTİHARA GÖTÜRDÜ
KAHRAMAN ARILAR
MUĞLALI ÖĞRETMENLER MENTEŞE GEZİSİNDE
MSKÜ'DE AKADEMİK AÇILIŞ COŞKUSU
YEŞİLAY MUĞLA YÖNETİMİ BASINLA BULUŞTU
DALAMAN'DA BAĞIMLILIK EĞİTİMİ
 
Bu yazı için yapılan yorumlar ( 0 ) + Yorum Yaz

Yorum bulunamadı !..

 
facebook.com/HaberEgeli
 
Diğer Haberler
Almanya'da ırkçı saldırı
Unutulan soykırım tekrarlanır
Avrupa'nın utancı Srebrenitsa
Afroamerikanlar hala hedefte
İlluminati nedir?
Fransa'da kaygı veren eylemler
Sıfatı "Gazeteci"
Kavimler göçü olabilir
Akıllı telefon sahipleri bunları bilmeli
Savaş kimin işine yarıyor diyenlere!
Terör Örgütü IŞİD Yemen'deki Cami Saldırısını Üstlendi
Madonna'dan faşizm eleştirisi
Erdoğan'a Mondragon sürprizi
Canlı Canlı Kızını Gömdü!
Belçika da 2 Kişi Öldürüldü
ABD havalimanın da Bir İlk Yaşandı!
Fransa'da Patlama!
Mc Donald's Şok Olay!
Bomba İmha Uzmanı Hayatını Kaybetti
Dünya Tecavüzcü Katil Adama Büyük Ceza
 
+ Çok okunan haberler

WEB TV Tüm videolar
Deplasmanda plasebo
 
Şeyhim kainata alışamadım
 
 
FOTO GALERİ Tüm galeriler
 
 
 
? Anket
 
   
Spor Kent Haberleri Politika Ekonomi Yazarlar Sağlık Eğitim Asayiş Kültür Sanat Yaşam Dünya Magazin
facebook.com/haberegeli twitter.com/haberegeli Google+   Anasayfam Yap
Sık Kullanılanlara Ekle
Künye
Sitene Ekle
İletişim

© Copyrigth 2013 haberegeli.com tüm hakları saklıdır
  Sitemiz abonesidir